Q熱
Q fever、Coxiellosis
Q熱は、1935年オーストラリアのと畜場の従業員間で流行した原因不明の熱性疾患(Query fever=不明熱)に由来する。ヒトでの本疾患をQ熱、動物での本疾患はコクシエラ症と呼び区別している。
ヒトをはじめ家畜(愛玩動物を含む)、野生動物、鳥類など罹患する動物種は多く、世界各国で本疾患は発生している。
疫学・病原体
病原体のCoxiella burnetiiは長い間リケッチアの一種であったが、近年、遺伝子の系統解析に基づきレジオネラ目コクシエラ科コクシエラ属の細菌に再分類された。

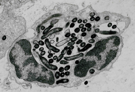
農研機構動物衛生研究部門 細胞内寄生菌ユニット 原図
小桿菌状で多形成を示す0.2~0.4x1.0㎛で球菌の1/2から1/4の大きさ。細胞内でのみ増殖できる偏性細胞内寄生性細菌で、人工培地では増殖できない。
増殖時の菌の形態には大型菌体(LCV)と小型菌体(SCV)があり、共に感染力を持つ。
SCVは芽胞様構造を示し、消毒剤、熱、乾燥などに極めて高い抵抗性を示す。
C.burnetiiはダニと野生動物(鳥類を含む)を宿主に感染環が成立しているが、この環の中に家畜(愛玩動物を含む)やヒトが介入して第2の感染環、ダニ‐家畜‐家畜またはヒトの感染が成立する。
本菌は感染動物の尿、便、乳汁などに排泄され、環境を汚染する。ヒトは主に汚染された環境中の粉塵、エアロゾルを吸入し感染する。未殺菌の乳製品、生肉などの摂取により感染する事もあるが、まれである。

千葉県獣医師会HPより転載 平井克哉 原図
動物における本病の特徴
ダニの寄生、感染動物との接触、その排泄物に汚染された環境中の粉塵、エアロゾルを吸入し感染する。
感染実験での潜伏期間は3~7日、多くは不顕性感染だが一部は発症。軽度の発熱と鼻汁程度の症状を呈する。妊娠動物では死・流産を起こす事もある。
診断は蛍光抗体法による血清抗体価測定、PCR法による遺伝子の検出。
治療にはテトラサイクリン系抗生物質、ニューキノロン系抗菌薬が使用される。
海外では家畜・愛玩動物用の不活化・生ワクチンが存在するが、国内では認可されていない。
予防方法は、飼育環境の消毒とダニ寄生の予防・駆除薬投与。
動物における法律関係
感染症法(四類感染症)に指定されているが、動物における届出義務はない。
人における本病の特徴
感染経路は感染動物の体液・排泄物の乾燥粉塵、エアロゾル吸入。ごくまれに未殺菌の乳製品、生肉などの摂取による。
諸外国では熱性呼吸器疾患の一つとして、市中肺炎の数%を占める4 ~ 6 位の一般的な呼吸器感染症の原因として広く認識されているが、国内においては検査が保険診療の対象ではないため、年間数名の感染しか報告されていない。また、検査を受託する民間施設がほとんどないのが現状であり、「四類感染症であるQ 熱の疑い症例」として保健所経由で検査依頼をするのも一法と考えられる。
ヒトにおける潜伏期間は7〜26日で、感染例の約60%は不顕性感染。
急性型は、発熱、頭痛、関節痛、筋肉痛、食欲不振、発疹などがみられる。その他に肺炎、肝炎、心内膜炎、髄膜炎、腎機能障害などの多彩な病像がみられるが、多くは約2週間で回復する。
慢性型はQ熱全体の0.2%程度が心内膜炎、慢性肝炎、心筋炎、心外膜炎、壊死性気管支炎、慢性疲労症候群様症状(QSF)等が認められ、重度の合併症で死の転機をとることもある。
治療にはテトラサイクリン系抗生物質、ニューキノロン系抗菌薬が使用される。
現在、Q熱を専門的に診療する医療施設は、日本大学医学部附属板橋病院(東京都)、北里研究所病院(東京都)、川崎医科大学(岡山県)、坂総合病院(宮城県)の4医療施設がある。
参考文献等
- 共通感染症ハンドブック(日本獣医師会 平成16年10月発行)P122-123 平井克哉(天使大学・看護栄養学部)
- 安藤匡子:Q 熱(コクシエラ症)起因菌 Coxiella burnetii の 最近の知見 モダンメディア55巻3号2009〔細菌〕 59 https://www.eiken.co.jp/uploads/modern_media/literature/MM0903_01.pdf
- 国立感染症研究所 Q熱とは https://www.niid.go.jp/niid/ja/kansennohanashi/391-q-intro.html
- 厚生労働省 Q熱 https://www.mhlw.go.jp/bunya/kenkou/kekkaku-kansenshou11/01-04-10.html
- 公益社団法人 千葉県獣医師会 人獣共通感染症 関連資料 Q熱 https://www.cpvma.com/diseases-14.html
- 農研機構動物衛生研究部門 細胞内寄生菌ユニット https://www.naro.affrc.go.jp/laboratory/niah/introduction/chart/1101/index.html
- Zoonosis協会(大塚製薬月刊誌「大塚薬報」掲載) 不明熱を呈した Q 熱 大柳玲嬉 北海道立子ども総合医療・療育センター http://zoonosis.jp/docs/oh_13.pdf
- Zoonosis協会(大塚製薬月刊誌「大塚薬報」掲載) 非特異的症状を呈すZoonosis ~診断に苦慮する症候・未病~ 各論 Q 熱〈解説・総論〉 荒島康友 Zoonosis 協会 副理事長(日本大学医学部病態病理学系臨床検査医学分野 助教) 矢久保修嗣 Zoonosis 協会 副理事長(日本大学医学部内科学系統合和漢医薬学分野 准教授) http://zoonosis.jp/docs/oh_20.pdf
- Zoonosis協会(大塚製薬月刊誌「大塚薬報」掲載) 呼吸器科領域における注意すべき Zoonosis(ペット関連感染症を中心に)① オウム病、Q 熱 荒島康友 Zoonosis 協会 副理事長( 日本大学医学部病態病理学系臨床検査医学分野 助教 ) 矢久保修嗣 Zoonosis 協会 副理事長( 日本大学医学部内科学系統合和漢医薬学分野 准教授 ) http://zoonosis.jp/docs/oh_42.pdf
- 東京都獣医師会 人と動物の共通感染症ガイダンス Q熱 https://www.tvma.or.jp/activities/guidance/infections/queryfever/
会員向けページ
Q熱における国内で利用可能な検査機関について記載しました。
閲覧はこちらから。